浙江农业科学 ›› 2025, Vol. 66 ›› Issue (12): 2956-2964.DOI: 10.16178/j.issn.0528-9017.20240720

• 果树与蔬菜 • 上一篇    下一篇

槜李APX基因家族的克隆与等位变异分析

李彦彪1,2(), 汪骏翔1, 袁梦婷1, 陆其华3, 刘洋1,2,*()   

  1. 1.嘉兴职业技术学院 现代农业学院,浙江 嘉兴 314036
    2.嘉兴市特色果蔬品种改良重点实验室,浙江 嘉兴 314036
    3.嘉兴市李子园艺科学研究所, 浙江 嘉兴 314036
  • 收稿日期:2024-09-06 出版日期:2025-12-11 发布日期:2025-12-17
  • 通讯作者: 刘洋(1980—),男,山西太原人,博士,研究方向为槜李品种改良,E-mail:lyfull@163.com
  • 作者简介:李彦彪(2003—),男,甘肃定西人,硕士,研究方向为槜李品种改良,E-mail:1352104144@qq.com
  • 基金资助:
    嘉兴市公益性研究计划项目(2024AY10058);嘉兴市科技特派员专项(K2024-1-1-15);嘉兴职业技术学院校立科研重点项目(jzyz202412);2022年嘉兴职业技术学院高层次科研培育项目

Cloning and allelic variation analysis of the APX gene family in Prunus salicina

LI Yanbiao1,2(), WANG Junxiang1, YUAN Mengting1, LU Qihua3, LIU Yang1,2,*()   

  1. 1. Modern Agriculture College, Jiaxing Vocational & Technical College, Jiaxing 314036, Zhejiang
    2. Key Laboratory of Characteristic Fruit and Vegetable Variety Improvement in Jiaxing, Jiaxing 314036,Zhejiang
    3. Horticultural Crop & Plum Research Institute of Jiaxing, Jiaxing 314036, Zhejiang
  • Received:2024-09-06 Online:2025-12-11 Published:2025-12-17

摘要:

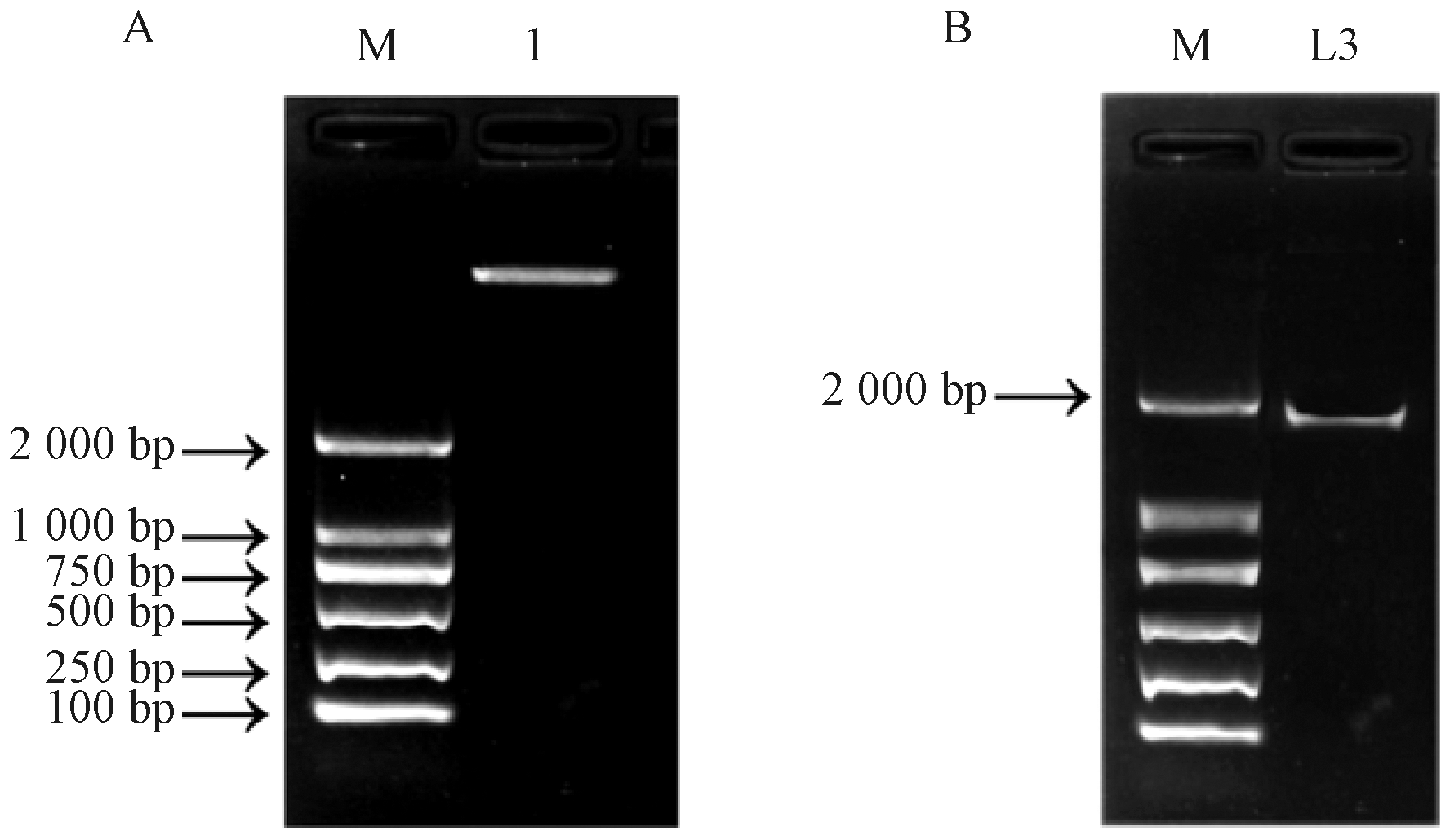
为鉴定分析槜李抗坏血酸过氧化物酶(ascorbate peroxidase, APX)基因家族,本研究以龙种槜李为研究材料,结合前期已取得的转录组数据,以中国李基因组序列为模板进行检索并设计引物,经过PCR、分子克隆、序列分析验证,成功分离出6个槜李APX基因(PsAPX-1aPsAPX-1bPsAPX-1cPsAPX-1dPsAPX-1ePsAPX-1f)。NCBI检索发现,PsAPX-1f上存在1个氨基酸缺失位点,导致其不能形成完整的目标基因。将PsAPX-1aPsAPX-1bPsAPX-1cPsAPX-1dPsAPX-1e提交至GenBank,获得登录号分别为PP277487、PP277488、PP277489、PP277490、PP277491。多序列比对发现,PsAPX-1aPsAPX-1bPsAPX-1cPsAPX-1dPsAPX-1e的相似性为98.8%~99.7%。PsAPX-1a包含79 bp的3'UTR,3个外显子和2个内含子,不含5'UTR,存在1个1 656 bp的开放读码框,编码552个氨基酸。蛋白质结构预测表明,PsAPX-1a蛋白具有APX保守结构域,与青梅、杏树、桃树等物种具有较高的同源性,该蛋白序列与槜李的抗逆与开花有关。本研究结果对探究槜李抗坏血酸代谢调控分子机制提供了参考。

关键词: 槜李, APX基因, 基因克隆, 序列分析

Abstract:

In order to identify and analyze the gene family of ascorbate peroxidase in Prunus salicina, this study used Longzhong as the research material, combined with previously obtained transcriptome data, searched and designed primers using the Chinese plum genome sequence as a template. After PCR, molecular cloning, and sequence analysis verification, six APX genes in Prunus salicina were successfully isolated (PsAPX-1a, PsAPX-1b, PsAPX-1c, PsAPX-1d, PsAPX-1e and PsAPX-1f). An amino acid deletion site on PsAPX-1f was found by NCBI, which prevents PsAPX-1f forming a complete target gene. Submit PsAPX-1a, PsAPX-1b, PsAPX-1c, PsAPX-1d, and PsAPX-1e sequences to GenBank and obtain login numbers PP277487, PP277488, PP277489, PP277490, PP277491 respectively. Multiple sequence alignment revealed that the similarity between PsAPX-1a, PsAPX-1b, PsAPX-1c, PsAPX-1d, and PsAPX-1e ranged from 98.8% to 99.7%. It was found that PsAPX-1a contained a 3' UTR of 79 bp as well as 3 exons and 2 introns, 5' UTR was not included. There was an open reading frame of 1 656 bp encoding 552 amino acids. Protein structure prediction showed that the PsAPX-1a protein had an APX conserved domain, which had high homology with green plum, apricot, and peach. The protein sequence is related to the stress resistance and flowering of Prunus salicina. This study provides a reference for exploring the molecular mechanism of regulating ascorbic acid metabolism in Prunus salicina.

Key words: Prunus salicina, APX gene, gene cloning, sequence analysis

中图分类号: